心理测量问卷,在精神疾病的诊断中,扮演了啥角色?

2025-06-25
从焦虑抑郁到重拾笑容,居家治疗新方法,有了!

2025-06-24
压力大就长胖?中医穴位埋线助你科学减重!

2025-06-20
乐小七食话实说 | 健脑饮食,让你的记忆力不再“迷路”!

2025-06-18
某短视频平台网红因聚众吸食笑气被警方逮捕......笑气!小心最后让你笑不出来!

2025-06-17
为何我总是控制不住的“心动”?

2025-06-16
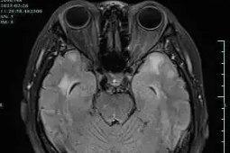
CT与磁共振“双剑合璧”:解开颅脑疾病诊断的谜团

2025-06-12
你以为的“文拉法辛”,可能根本不是它!

2025-06-09
避开安慰误区,不再无效陪伴!送给应考生家庭的心理锦囊

2025-05-30
读懂“不一样”,点亮学习路!今年61,继续关注ADHD儿童和学习困难、拒学儿童!

2025-05-29
吃动平衡 健康体重 全民行动

2025-05-22
别让“五月病”偷走你的夏天

2025-05-17
肺动脉CTA检查:守护长期卧床与VTE高危患者的隐形盾牌

2025-05-15
磁共振检查:解锁 CADASIL“密码”的钥匙

2025-04-17
菜市场疗愈学:春季时令采购的心理保健作用

2025-04-16
乐小七食话实说 | 每一口都是力量!帕友的饮食秘籍来了!

2025-04-11
睡不着就海淘褪黑素,安全有效否?

2025-03-26
乐小七食话实说 | 吃得好,才能睡得香!

2025-03-19
揭秘精神科的影像“AI神器”!

2025-03-09
驱散春日阴霾,别让“情绪内耗”!这份快乐秘籍请收好

2025-03-06